急性肺损伤(ALI)是一种危及生命的疾病,其特征是压倒性的肺部炎症和中性粒细胞浸润。中性粒细胞通过释放蛋白水解酶、活性氧和中性粒细胞胞外诱捕网(NETs)在ALI发病机制中发挥核心作用。尽管NET有助于病原体清除,但过度的NET形成加剧了组织损伤并放大了炎症。m6A是真核RNA中最丰富的内部修饰物,通过调节RNA的稳定性和翻译在免疫细胞调控中起关键作用。然而,在ALI期间m6A修饰如何控制NETosis仍不完全清楚。髓系或中性粒细胞谱系中METTL3的条件缺失显著降低了脂多糖(LPS)诱导的ALI后肺MPO活性、瓜氨酸组蛋白H3水平和细胞外DNA沉积。METTL3缺乏可减轻肺部炎症并减少中性粒细胞浸润。在体外,METTL3缺陷的中性粒细胞在PMA刺激下表现出NET形成减少,SYK磷酸化和下游ERK /MEK激活减少。从机制上讲,METTL3促进SYK mRNA的m6A甲基化,增强其稳定性和转录。药理抑制METTL3或SYK重现保护性表型,抑制NETosis和体内肺损伤。总的来说,我们的研究结果揭示了一种新的METTL3-SYK表转录组轴,该轴在内毒素诱导的肺损伤期间控制中性粒细胞效应反应。这些结果强调了m6A依赖性转录后调控作为ALI和败血症相关炎症的潜在治疗靶点。本文于2026年1月发表于Journal of Advanced Research(IF=13.0)上。
技术路线:

结果:
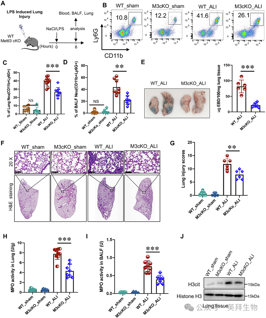
1)METTL3缺乏可减轻ALI患者的中性粒细胞募集和肺损伤
为了探索急性肺损伤(ALI)期间METTL3在中性粒细胞中的作用,我们产生了中性粒细胞特异性METTL3敲除小鼠。这些小鼠及其同窝对照小鼠接受气管内脂多糖(LPS)刺激以诱导ALI(图1A)。LPS给药后6小时,取中性粒细胞浸润、肺组织和支气管肺泡灌洗液(BALF)峰值对应的时间点进行流式细胞术分析。我们观察到,与野生型(WT)幼崽相比,METTL3 cKO小鼠肺组织和BALF中CD45+CD11b+Ly6G+中性粒细胞的数量显著减少(图1B-D)。组织学检查进一步证实METTL3 cKO小鼠肺部炎症减轻。H&E染色显示,与WT对照组相比,METTL3 cKO肺的肺泡壁增厚减少,白细胞浸润最小,肺泡结构保存更好,肺泡塌陷广泛存在,细胞浸润,肺结构破坏(图1F-G)。重要的是,在LPS刺激后,METTL3 cKO小鼠肺实质中埃文斯蓝的积累显著降低,表明METTL3驱动的NET形成有助于ALI的内皮渗漏(图1E)。为了阐明METTL3在ALI期间中性粒细胞NET形成中的作用,我们进一步分析了与NET相关的标志物。MPO活性在METTL3 cKO小鼠的全肺裂解物和支气管肺泡细胞中显著降低(图1H-I)。Western blot显示,H3Cit在METTL3缺陷小鼠的肺组织中也减少(图1J)。这些研究结果表明,在LPS诱导的ALI过程中,METTL3是有效的中性粒细胞募集和激活所必需的,缺乏METTL3对肺部炎症和损伤具有重要的保护作用。

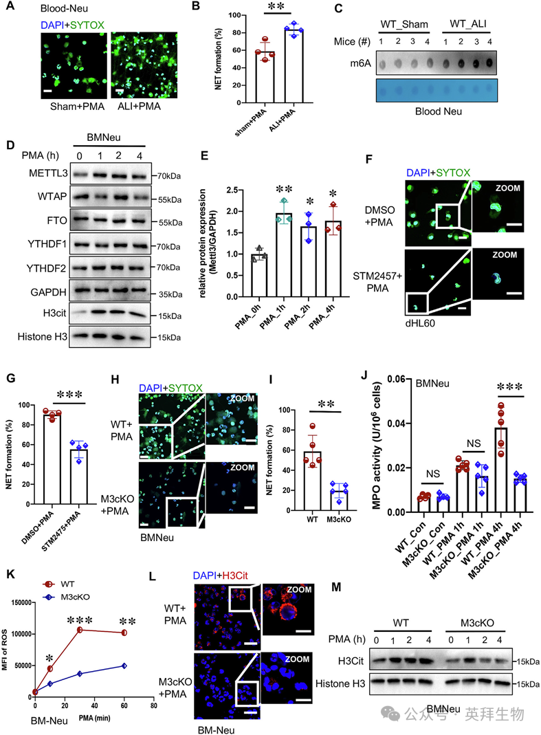
2)中性粒细胞METTL3促进体外NET的形成
为了确定METTL3是否调控NET的形成,我们通过中性粒细胞染色体外观察NETs。ALI小鼠的中性粒细胞表现出强大的NET形成(图2A-B)。有趣的是,在ALI小鼠的血液中性粒细胞和肺组织以及经PMA处理的骨髓源性中性粒细胞(BMNeu)中m6A RNA修饰水平升高(图2C)。我们检查了m6A的主要调节因子,发现PMA处理后METTL3显著增加(图2-D-E)。为了直接评估METTL3在NET形成中的功能,我们用METTL3抑制剂STM2457处理dHL60细胞。METTL3的抑制减少了NET的形成(图2F-G)。经PMA处理的WT BMNeu显示出强大的NET形成(图2H)。相比之下,来自METTL3 cKO小鼠的中性粒细胞显示出明显较少的细胞外DNA结构(图2H)。与WT中性粒细胞相比,这些细胞的NET形成减少了67%(图2I)。METTL3缺乏还导致MPO活性(图2J)、ROS产生(图2K)和组蛋白H3瓜氨酸化(图2L-M)降低。综上所述,这些数据表明METTL3促进了NET的形成并触发了下游效应功能。

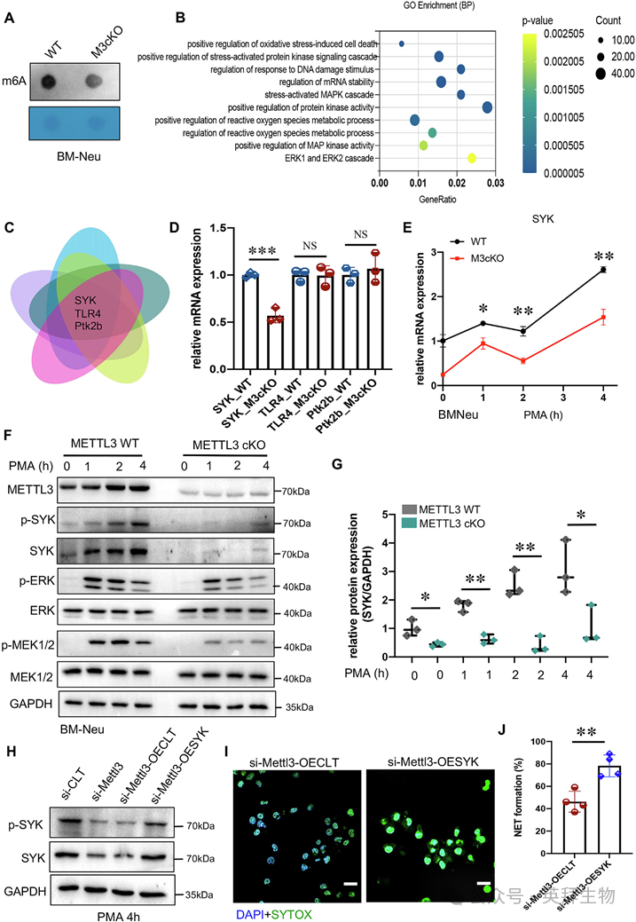
3)METTL3通过SYK/ERK/MEK信号轴促进NETosis
Dot blot分析证实,METTL3缺失导致中性粒细胞中m6A修饰减少(图3A)。为了描述METTL3如何调节NETosis,我们进行了MeRIP-seq。m6A峰富集的差异突出了ERK/MAPK通路和ROS产生的显著变化(图3B)。接下来,我们进行了基于维恩图的富集分析,以确定潜在的靶基因,发现了三个候选基因:SYK、TLR4和Ptk2b(图3C)。qPCR证实,只有SYK在METTL3缺陷(M3cKO)中性粒细胞中显著下调(图3D)。在基线和PMA治疗后,METTL3 cKO BMNeu和METTL3 KD dHL60中SYK mRNA和蛋白的表达显著降低(图3E-G)。与NETosis期间的对照组相比,METTL3缺陷(M3cKO)中性粒细胞和METTL3 KD dHL60中的ERK/MEK激活被证实大幅降低(图3F)。METTL3敲低的dHL60细胞中SYK的过表达增加了PMA诱导的SYK磷酸化水平(图3H),并恢复了PMA刺激后的NET形成(图3I-J)。这些数据证实SYK是METTL3的直接m6A靶点,并通过SYK/ERK/MEK信号轴调控NETosis。

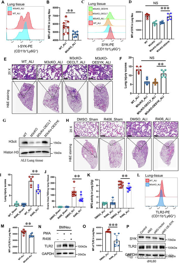
4)METTL3依赖的SYK表达促进败血症诱导的肺损伤
接下来,我们探讨了ALI中的METTL3-SYK轴的体内相关性。流式细胞分析显示,与METTL3 cKO小鼠相比,LPS刺激后WT小鼠肺浸润中性粒细胞中SYK的表达更高(图4A-B)。接下来,我们通过慢病毒注射在METTL3 cKO小鼠中过表达SYK。通过流式细胞术染色和Western Blot分析证实了SYK在肺组织和中性粒细胞中的成功过表达(图4C-D)。SYK过表达消除了METTL3 cKO ALI中的有益作用(图4E-F)。重要的是,SYK过表达恢复了肺组织中的H3Cit水平,这表明METTL3驱动的SYK表达主要通过NET形成促进肺损伤进展(图4G)。为了评估SYK在脓毒症诱导的肺损伤中的作用,小鼠在ALI诱导前两天腹腔注射SYK磷酸化抑制剂R406。组织病理学和Evans蓝染色显示,R406治疗减轻了肺损伤,并降低了肺中的MPO活性和H3Cit(图4H-K)。我们还注意到ALI肺中METTL3缺陷中性粒细胞的膜结合TLR2表达减少(图4L-M)。在机制上,SYK调节TLR2的表达。急性肺损伤时,腹腔注射R406可有效降低中性粒细胞中TLR2的表达(图4N-O),而SYK过表达可恢复METTL3缺陷细胞中TLR2的表达(图4P)。这些发现表明SYK在脓毒症诱导的ALI中是METTL3的关键下游效应因子,在NETosis的调节中是METTL3的直接下游效应因子。

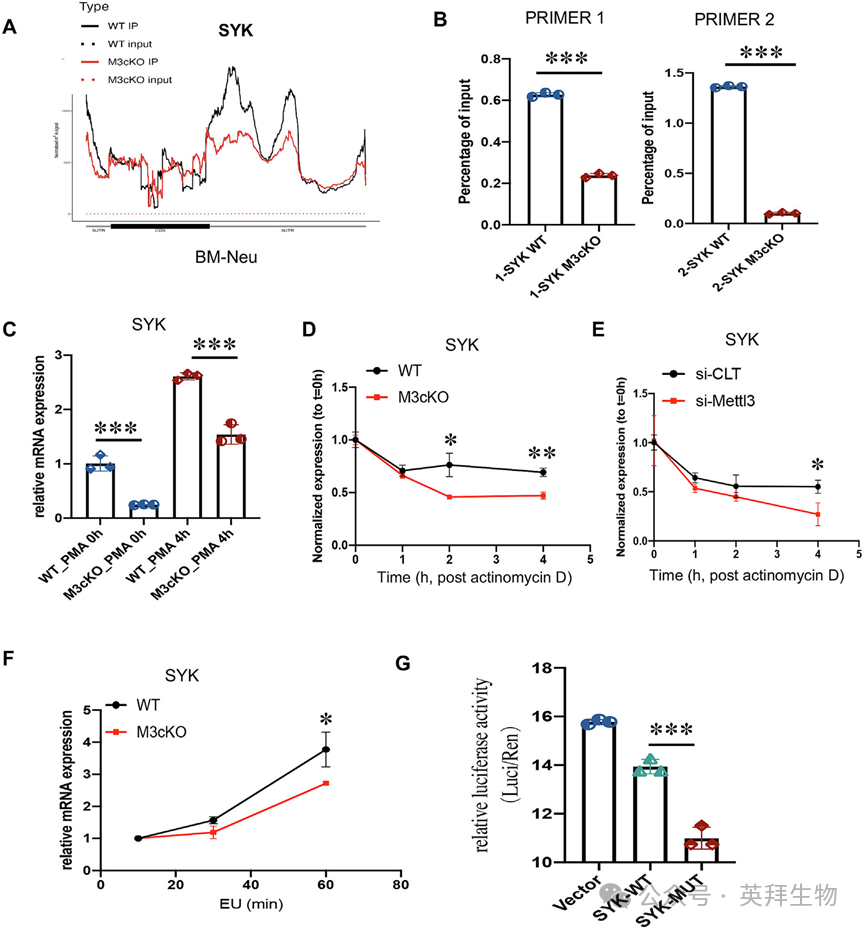
5)METTL3通过m6A修饰稳定SYK mRNA
为了进一步研究METTL3控制SYK表达的机制,我们使用MeRIP-seq分析了SYK转录本上m6A的修饰。我们在WT中性粒细胞中SYK mRNA的3'UTR中发现了强烈的m6A峰,而在METTL3缺失的细胞中,m6A峰明显减少(图5A)。MeRIP-qPCR证实,SYK转录本在WT细胞中优先甲基化(图5B)。定量PCR显示,在PMA刺激下,METTL3缺陷中性粒细胞中SYK mRNA水平降低(图5C)。为了区分转录调控和转录后调控,我们进行了Actinomycin D追逐实验。SYK mRNA在METTL3缺失的细胞中降解更快,表明METTL3延长了SYK转录物的稳定性(图5D-E)。相比之下,新生RNA标记仅显示SYK转录的适度减少(图5F)。使用WT或突变SYK 3 ' UTRs构建的荧光素酶报告基因试验表明,m6A位点的缺失显著降低了报告基因活性(图5G)。这些数据共同表明,METTL3介导的m6A修饰稳定了SYK mRNA,支持持续的蛋白表达和NET形成所必需的下游信号。

6)药理抑制METTL3可抑制NETosis并改善肺预后
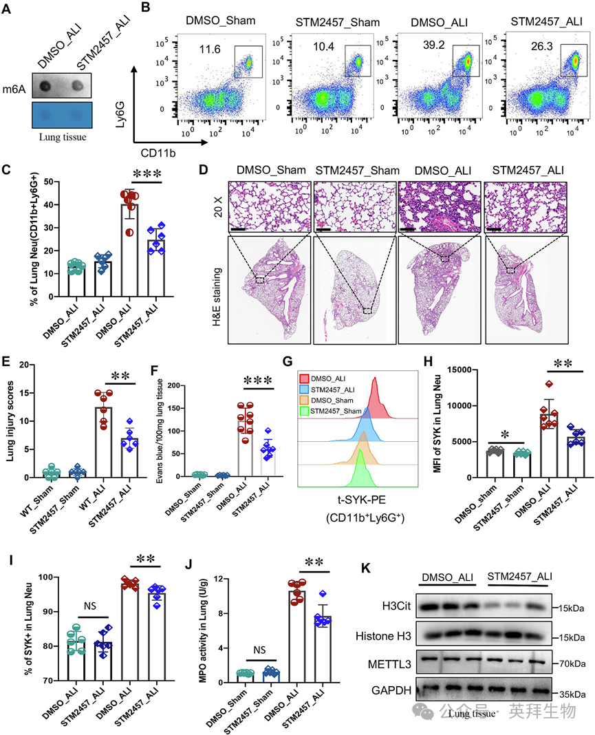
为了评估靶向METTL3的治疗潜力,我们用METTL3抑制剂STM2457处理WT小鼠。STM2457治疗显著降低肺组织和分选的血液中性粒细胞中m6A水平(图6A)。重要的是,通过流式细胞术测量,STM2457处理小鼠肺组织中的中性粒细胞积累显著减少(图6B-C)。组织学分析显示,经STM2457处理的小鼠肺形态得到改善,肺泡塌陷和炎症浸润减少(图6D-E)。肺血管渗漏也明显减少(图6F)。流式细胞术显示,STM2457降低了肺组织中SYK的表达水平和SYK阳性中性粒细胞的百分比(图6G-I)。生化分析证实,治疗后肺组织的MPO活性和H3Cit表达降低(图6J-K)。这些发现表明,药物抑制METTL3可以减轻NET的形成、中性粒细胞活化和肺损伤,这可能是治疗ALI和脓毒症的一种有希望的策略。

结论:
我们的研究揭示了METTL3通过SYK/ERK/MEK轴调控中性粒细胞活化和NETosis的表转录组学机制。这些发现表明m6A依赖性RNA调控是免疫控制的关键层,为ALI和其他中性粒细胞驱动疾病的治疗提供了新的治疗途径。
参考文献:
Luo S, Zhang Q, Zhou W, Zhang L, Liao C, Zeng D, Zhang L, Xiang FL, Xu J, Tang J. METTL3 promotes neutrophil extracellular trap formation via SYK/ERK/MEK signaling during acute lung injury. J Adv Res. 2026 Jan 22:S2090-1232(26)00069-X.